Cientista diz que achou onde fica o “mal” no corpo humano
Área do cérebro seria um indicador de tendência para o crime
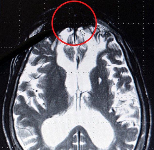
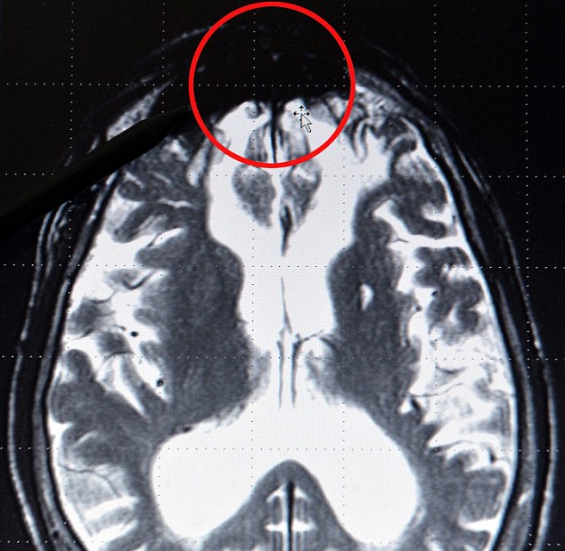
Depois de analisar os cérebros de criminosos violentos, o neurologista alemão Gerhard Roth diz que encontrou uma área no lobo frontal que denominou “mancha do mal”. Ela é vista como uma área mais escura nos aparelhos de ressonância magnética.
Em um estudo financiado pelo governo alemão, Roth selecionou um grupo de assassinos e estupradores e mostrou a eles vários curtas-metragens com cenas brutais para medir as suas ondas cerebrais que emanam de seus cérebros ao vê-los.
“Sempre que havia cenas brutais, eles não reagiam. Nas áreas do cérebro que indicam a compaixão e a tristeza, nada aconteceu”, explica Roth, que trabalha na Universidade de Bremen.
No entanto, as imagens do cérebro dessas mesmas pessoas possuíam a mesma “mancha escura” no cérebro, o que pode significar que alguns criminosos teriam uma “predisposição genética” para a violência.
Além disso, o neurologista disse há casos em que a pessoa comete crimes como resultado de um tumor naquela área do cérebro. Quando o tumor é removido, ela volta a ter uma personalidade não agressiva. O médico acredita que o comportamento antissocial é fácil de ser detectado em uma idade precoce.
Essas pessoas podem ter suas ondas cerebrais medidas. “Quando eu olho para os jovens, vejo que existem transtornos naquela porção do cérebro, posso dizer com 66% de probabilidade se já existe um criminoso em formação” Ele acrescentou: “Especialistas detectaram um declínio mental em algumas crianças no início do jardim de infância. É tarefa da sociedade oferecer amplo apoio para essas crianças e seus pais antes que se tornem criminosos”.
Por fim, Roth explica que existem três tipos de criminosos: a pessoa “psicologicamente saudável que passa por mudanças após estímulos externos, aqueles que já possuem condições mentais perturbadas e acredita que todos estão contra ele, e o terceiro grupo são de psicopatas puros, como Hitler ou Stalin. Com informações Daily Mail.
